Refined, Radiant, Natural Smiles

Enhance Your Smile. Boost Your Confidence.
At Royal Oak Smiles, we believe your smile should reflect the confidence and vitality you feel within. Our cosmetic dentistry services are thoughtfully designed to enhance the natural beauty of your teeth—helping you achieve a smile that looks and feels like the best version of you.
Whether you’re interested in brightening your teeth, correcting imperfections, or making subtle enhancements, Dr. Dolores Baran and our experienced team are here to guide you. We take a personalized approach to every treatment, carefully considering your goals, lifestyle, and budget to create a plan that’s tailored to your unique needs.
With advanced techniques and a strong focus on aesthetics and function, we’re proud to offer results that are not only beautiful, but long-lasting.
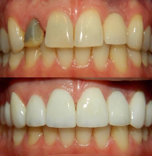
Porcelain Veneers
Porcelain veneers are a highly effective solution for transforming the appearance of chipped, discolored, uneven, or worn teeth. These thin, custom-crafted shells are bonded to the front surfaces of your teeth to create a beautifully balanced, natural-looking smile. At Royal Oak Smiles, we use high-quality porcelain materials that mimic the translucency and strength of natural enamel. Dr. Baran will work closely with you to design a smile that enhances your facial features and complements your overall appearance.
SureSmile® Clear Aligners
Achieve a straighter, more confident smile with SureSmile® An advanced clear aligner system designed to gently and precisely move your teeth into alignment. SureSmile offers an effective, nearly invisible alternative to traditional braces, making it a great option for both adults and teens who want a more discreet orthodontic solution. At Royal Oak Smiles, Dr. Baran creates a customized SureSmile treatment plan tailored to your specific needs and goals. The aligners are comfortable, removable, and designed for convenience—so you can continue enjoying your favorite foods and maintain your oral hygiene with ease.
Cosmetic Bonding
Cosmetic dental bonding is a simple and effective way to restore the appearance of teeth with minor imperfections such as chips, cracks, gaps, or discoloration. Using a durable, tooth-colored composite resin, Dr. Baran can carefully sculpt and blend the material to match your natural teeth—enhancing both shape and color. This minimally invasive treatment is typically completed in a single visit, offering immediate results with little to no downtime. Cosmetic bonding is a cost-effective option for patients seeking subtle yet impactful improvements to their smile.
Gum Contouring
Gum contouring is a precise cosmetic procedure designed to reshape uneven or excessive gum tissue, revealing a more balanced and harmonious smile. Whether you have a “gummy” smile or an irregular gum line, this treatment gently sculpts the gums to enhance the natural proportions of your teeth. Dr. Baran uses advanced techniques to ensure a comfortable experience and beautifully refined results. Gum contouring can make a dramatic difference in the overall aesthetics of your smile—helping you feel more confident every time you show it.
Botox®
At Royal Oak Smiles, we offer cosmetic Botox treatments to complement your dental care by softening fine lines and wrinkles around the mouth and jaw. Botox helps create a smoother, more youthful appearance, enhancing your overall smile aesthetics and facial harmony. In addition to its cosmetic benefits, Botox is an effective treatment option for managing TMJ (temporomandibular joint) disorders. By relaxing the muscles responsible for jaw tension and spasms, Botox can help alleviate symptoms such as jaw pain, headaches, and teeth grinding (bruxism), improving comfort and function. Administered by trained professionals, Botox is a safe, minimally invasive therapy that supports both your appearance and oral health—helping you look and feel your best.
Tooth Bling
At Royal Oak Smiles, we offer custom tooth gems as a safe and non-invasive way to personalize your smile. Using a gentle bonding process, these decorative accents are carefully applied to the surface of your tooth without causing any damage to your enamel. Tooth gems provide a subtle yet stylish way to express your individuality while maintaining your oral health. Our team ensures precise placement and offers guidance on care to keep your smile shining bright.