Case ID: 4349
Case ID: 4348
Case ID: 4347
Case ID: 4346
Case ID: 4345
Case ID: 4344
Case ID: 4343
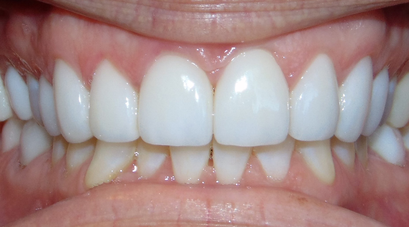
Case ID: 4326
Case ID: 4332
Case ID: 4331
Have a question? Get in touch now!
*All indicated fields must be completed.Please include non-medical questions and correspondence only.
Accessibility Toolbar